NuonHuman™ X-ray Acquisition Software

HomeHuman RadiologyNuonHuman Software
Radiology team reviewing patient scans on computer monitors

Smarter Image Acquisition for Modern Human Radiology

NuonHuman™ is advanced human radiology software built to do more than acquire images — it helps you create a more efficient, connected, and accurate radiology workflow. Designed for medical clinics, imaging centres, and hospitals, NuonHuman™ provides seamless image acquisition, advanced optimization, and full diagnostic viewing tools, all within a modular, scalable platform.

Whether you’re capturing studies at point of care, managing diagnostic review across workstations, or integrating with a full PACS or EMR system, NuonHuman™ delivers the power and flexibility to match your practice’s needs today — and grow with you tomorrow.

Features & Benefits of NuonHuman™

Designed to be the core of your digital radiology workflow, NuonHuman™ human radiology software helps imaging professionals capture, optimize, and manage diagnostic images with greater speed and accuracy. Whether you’re running a single diagnostic workstation or managing a multi-site imaging environment, NuonHuman™ offers the flexibility and integration you need.

Fast, Intuitive Image Acquisition

Capture high-quality DICOM images quickly and efficiently — optimized for your choice of DR system.

Integrated Radiographic Positioning Guide

Assist technologists with positioning references right within the acquisition software — improving consistency and patient comfort.

Full Diagnostic Viewing Tools

NuonHuman™ includes an integrated full viewer for image analysis and diagnostic review — supporting everything from basic reading to advanced measurement and reporting.

Secure Image Handling & Distribution

NuonHuman™ supports secure DICOM image sharing, audit trails, and encrypted storage when combined with Nuon Cloud or your existing PACS solution.

Organ-Specific Image Optimization

Built-in tools deliver optimized image presets tailored for different anatomical areas, helping radiologists achieve more consistent results.

Seamless Workflow Integration

  • Fully DICOM-compliant
  • Integrated worklist management
  • Supports HL7 integration for compatibility with EMR, HIS, and RIS systems
  • Compatible with leading PACS platforms, including Nuon Cloud, RamSoft, and MRX Solutions

Modular & Scalable Architecture

Whether you start with a single diagnostic workstation or plan to scale to a full PACS network, NuonHuman™ adapts to your evolving needs.

  • Works as a standalone acquisition/viewing station
  • Scales seamlessly to multi-site PACS environments
  • Modular design allows for tailored configurations

Schedule a Demo of NuonHuman™

See how NuonHuman™ X-ray Acquisition Software can help your team work smarter. From image acquisition to diagnostic review to seamless PACS integration, we’ll walk you through how the platform can be tailored to fit your practice’s workflow.

Adaptable Imaging Solutions for Your Practice

Whether you’re starting with a single acquisition station or planning a multi-site imaging network, NuonHuman™ is built to scale. Its modular architecture and open standards ensure that as your imaging demands grow, your software grows with you — without disruption.
X-ray laboratory with monitors and modern equipment
Concentrated female doctor using computer in her office

Scalable Deployment Options

  • Start with a standalone diagnostic workstation
  • Expand to multi-room configurations
  • Scale to an enterprise-wide PACS network, including integration with Nuon Cloud for browser-based access and secure remote collaboration

Seamless Integration With Clinical Systems

  • DICOM-compliant for interoperability across modalities
  • HL7 integration for connection with EMR, HIS, and RIS platforms
  • Compatible with leading PACS, including RamSoft, MRX Solutions, and other popular systems
  • Supports secure image sharing and distribution, both within and between care teams

Future-Proof Architecture

NuonHuman™’s modular platform ensures you can adapt to changing technology and new workflow needs — whether you’re adding mobile devices, cloud storage, or remote reading capabilities.

Secure Cloud Imaging That Connects Your Care Teams

NuonHuman™ integrates seamlessly with Nuon Cloud, providing secure cloud-based imaging and enabling connected collaboration across care teams.

For practices that want greater flexibility and centralized access, Nuon Cloud ensures your data is always available—securely and reliably.

Nuon Cloud Provides:

When combined with NuonHuman™, Nuon Cloud allows you to create a powerful hybrid imaging solution — giving you the best of local performance and cloud-enabled flexibility.

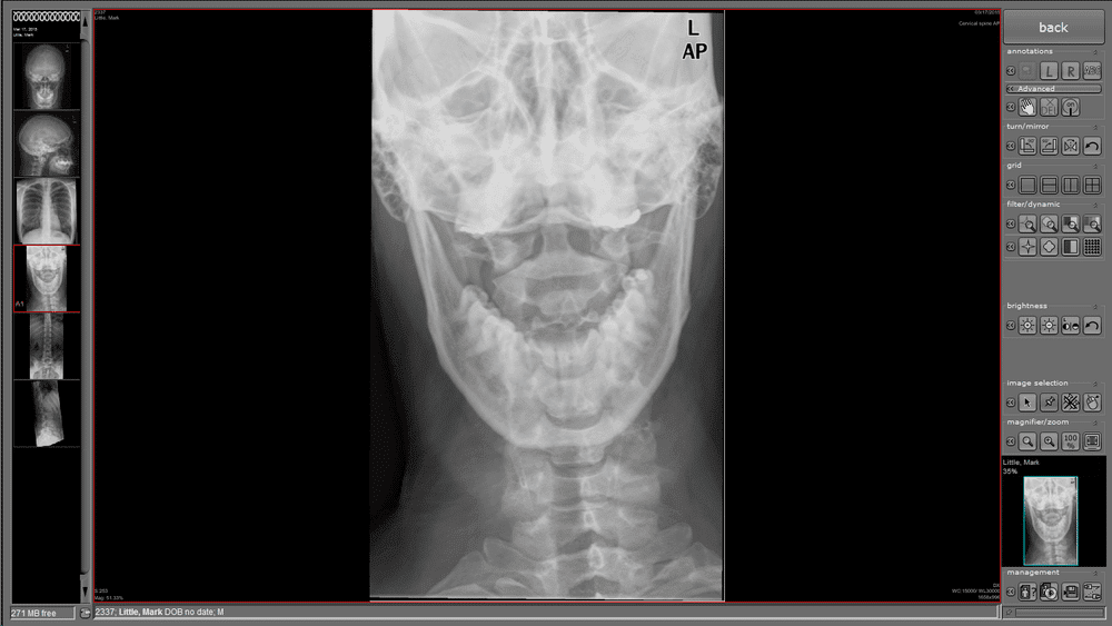
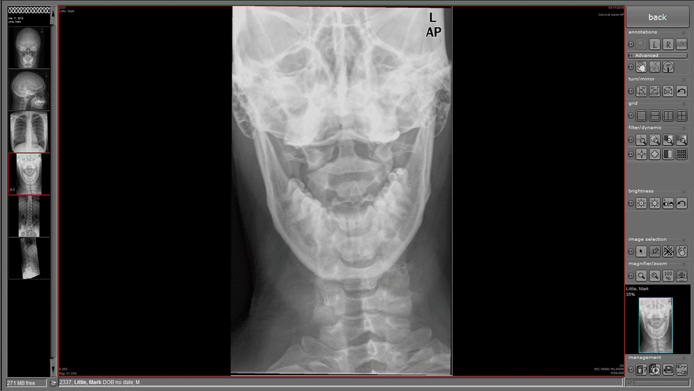
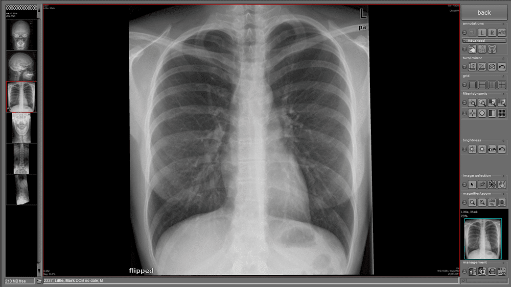
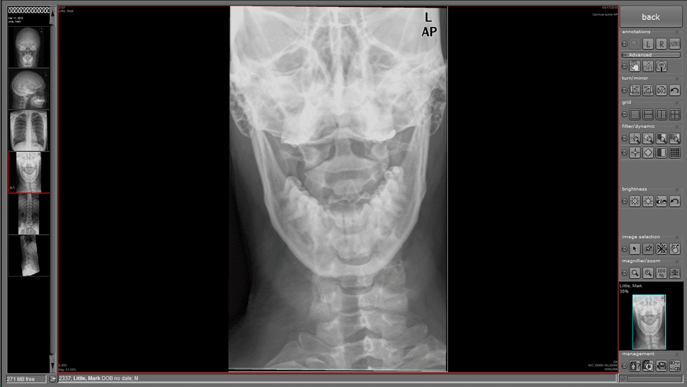
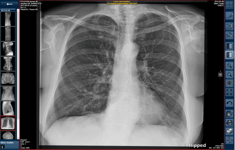
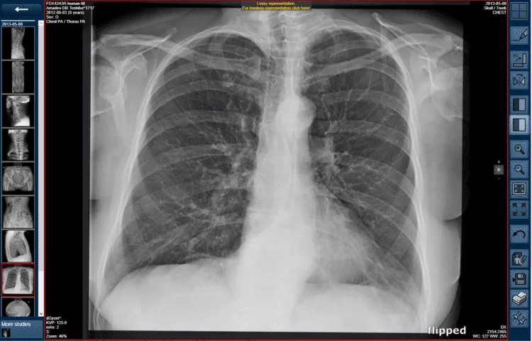
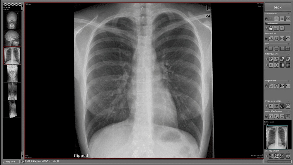
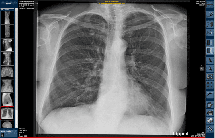
Nuon Imaging Archived Images Chest
Nuon Imaging Archived Images
Nuon Imaging miVet Computer

24/7 Service & Support for NuonHuman™

With Nuon Imaging, you gain a partner in your imaging success — not just a software vendor. We offer Service & Support tailored to your NuonHuman™ installation, so your team always has the help it needs.

Our support includes:

Our Trusted Partners

NuonHuman™ integrates seamlessly with leading PACS and cloud systems, including:

Female technician adjusts X-Ray machine. Female radiologist is going to take an Xray of patient

Let’s Optimize Your Imaging Workflow with NuonHuman™

Whether you’re building a new imaging suite, upgrading to digital, or enhancing an existing PACS network, NuonHuman™ gives your team the tools to work smarter and deliver better patient care. Talk to us about how we can tailor NuonHuman™ and Nuon Cloud to fit your clinic’s workflow and future goals.